L’ecografia in gravidanza
L’ecografia è entrata prepotentemente nel mondo dell’ostetrica e della gravidanza, tanto da rivoluzionarne tutto l’approccio e creare una nuova branca, ovvero quella della medicina fetale.
La medicina fetale attraverso l’uso degli ultrasuoni ha permesso lo studio del comparto uterino e fetale dando anche la possibilità di effettuare procedure diagnostiche e terapeutiche invasive.
In particolare, l’ecografia, nelle diverse settimane di gravidanza permette di monitorare il benessere fetale e di realizzare uno studio particolareggiato della struttura, valutarne l’accrescimento, con la possibilità attraverso complesse formule matematiche di determinare una stima del peso fetale.
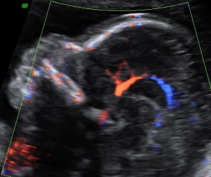
L’ecografia del secondo trimestre, meglio conosciuta come ecografia morfologica, è il massimo concentrato delle potenzialità dello studio ecografico: questa è l’epoca gestazione in cui si ha il miglior rapporto tra le dimensioni del feto stesso e la risoluzione dell’apparecchio, al fine di eseguire un’analisi morfostrutturale. Si possono investigare estensivamente parametri della crescita e del benessere fetale, implementando lo studio con la visualizzazione e valutazione della vascolarizzazione fetale ed uterina. Una profonda conoscenza dell’anatomia fetale permette inoltre di realizzare un’ecografia genetica, valutando il rischio di patologie cromosomiche.
I moderni apparati consentono inoltre di arricchire la normale indagine ecografica bidimensionale con ricostruzioni tridimensionali e più recentemente anche quadridimensionali, ovvero con una modellazione solida in real-time.
L’ecografia ostetrica ha quindi un inestimabile valore diagnostico ma ha anche l’insostituibile ruolo di presentare ai futuri genitori il loro figlio, così da aumentarne la consapevolezza durante la gravidanza.
L’ecografia morfologica è infatti anche un momento in cui i genitori trovano rassicurazioni e risposte ai molti dubbi e domande.
Per una mamma, poter vedere il bambino che porta in grembo, essere rassicurata sulla propria salute e su quella del proprio figlio, ha un effetto positivo generale che influisce sulla percezione ed il buon andamento della gravidanza stessa.

