Le raccomandazioni della Società Italiana di Ginecologia ed Ostetricia per Gravidanza e COVID-19

Coronavirus COVID-19 in gravidanza.
Uno studio cinese uscito pochi giorni fa afferma che le caratteristiche cliniche delle donne in gravidanza con infezione da Coronavirus 2019-nCoV nel terzo trimestre sono simili a quelle di pazienti non gravide e nei 3 casi studiati non è stato riscontrato alcun esito avverso grave in gravidanza.
Tutti i campioni tre placente analizzate erano negativi per l’acido nucleico del 2019-nCoV.
I tamponi effettuati nella gola dei tre neonati sono stati testati per 2019-nCoV e tutti i campioni erano negativi per l’acido nucleico di 2019-nCoV.
Attualmente non è stata trovata alcuna prova per la trasmissione verticale intrauterina di 2019-nCoV nelle tre donne infette da 2019-nCoV nella loro gravidanza avanzata (Chen, 2020).
Per leggere l’articolo:
https://www.ncbi.nlm.nih.gov/pubmed/32114744

Disinfettante per le mani: la ricetta dell’OMS per farlo in casa
Alcol etilico, glicerina e acqua ossigenata, diluite con acqua distillata o fatta bollire e poi raffreddare. Questa la ‘ricetta’ per preparare un disinfettante per le mani ‘fai da te’ contenuta in un documento pubblicato sul sito dell’Oms, che spiega anche tutti i passaggi necessari.
Per preparare dieci litri di disinfettante, spiega il documento che fa parte del materiale messo a punto dall’Oms per il lavaggio delle mani e non è specifico per il coronavirus, vanno usati circa 8,3 litri di alcol etilico al 96%, 420 millilitri di acqua ossigenata al 3% e 145 millilitri di glicerolo al 98%, portando poi la soluzione risultante al volume di 10 litri con acqua sterile, distillata o fatta bollire e poi raffreddare. Il contenitore può essere di plastica o vetro, mentre la soluzione può essere mescolata con attrezzi di plastica, metallo o legno. Una versione alternativa prevede l’utilizzo di alcol isopropilico al posto di quello etilico.
“Mettete le bottiglie in quarantena per 72 ore prima dell’uso – spiega il documento, che raccomanda di etichettare chiaramente le bottiglie e di tenere il disinfettante e gli ingredienti lontano da fonti di calore -. Questo permette di distruggere ogni spora presente nell’alcol o nelle bottiglie”.

Trasmissione del coronavirus COVID-19 in gravidanza.
L’infezione da COVID-19 non presenta un decorso più grave nelle gravide rispetto alla popolazione normale, contrariamente a quanto era accaduto in precedenti infezioni. In aggiunta al momento non è mai stato dimostrato la trasmissione verticale dalla mamma al feto in utero. Rimangono le norme igieniche e di buon senso emanate dal Ministero della Salute e particolarmente valide in gravidanza.
Vi lascio il link all’articolo pubblicato il 12 Febbraio 2020 su Lancet.
https://www.thelancet.com/journals/lancet/article/PIIS0140-6736(20)30360-3/fulltext
Mantieniti informato sulla diffusione dell’epidemia, disponibile sul sito dell’OMS e adotta le seguenti misure di protezione personale:
- lavati spesso le mani con acqua e sapone o con soluzioni a base di alcol per eliminare il virus dalle tue mani
- mantieni una certa distanza – almeno un metro – dalle altre persone, in particolare quando tossiscono o starnutiscono o se hanno la febbre, perché il virus è contenuto nelle goccioline di saliva e può essere trasmesso col respiro a distanza ravvicinata
- evita di toccarti occhi, naso e bocca con le mani se presenti febbre, tosse o difficoltà respiratorie e hai viaggiato di recente in Cina o se sei stato in stretto contatto con una persona ritornata dalla Cina e affetta da malattia respiratoria.
- se presenti febbre, tosse o difficoltà respiratorie e hai viaggiato di recente in Cina o se sei stato in stretto contatto con una persona ritornata dalla Cina e affetta da malattia respiratoria segnalalo al numero gratuito 1500, istituito dal Ministero della salute. Ricorda che esistono diverse cause di malattie respiratorie e il nuovo coronavirus può essere una di queste. Se hai sintomi lievi e non sei stato recentemente in Cina, rimani a casa fino alla risoluzione dei sintomi applicando le misure di igiene, che comprendono l’igiene delle mani (lavare spesso le mani con acqua e sapone o con soluzioni alcoliche) e delle vie respiratorie (starnutire o tossire in un fazzoletto o con il gomito flesso, utilizzare una mascherina e gettare i fazzoletti utilizzati in un cestino chiuso immediatamente dopo l’uso e lavare le mani).
Alimentazione in gravidanza
Intervista su 7 in Punto su alimentazione in gravidanza con il dr. Brocadello (Specialista in Scienza dell’alimentazione)
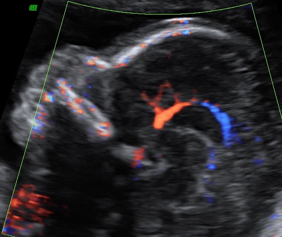
L’ecografia in Ostetricia
L’ecografia è entrata prepotentemente nel mondo dell’ostetrica e della gravidanza, tanto da rivoluzionarne tutto l’approccio e creare una nuova branca, ovvero quella della medicina fetale.
La medicina fetale attraverso l’uso degli ultrasuoni ha permesso lo studio del comparto uterino e fetale dando anche la possibilità di effettuare procedure diagnostiche e terapeutiche invasive.
In particolare, l’ecografia, nelle diverse settimane di gravidanza permette di monitorare il benessere fetale e di realizzare uno studio particolareggiato della struttura, valutarne l’accrescimento, con la possibilità attraverso complesse formule matematiche di determinare una stima del peso fetale.
L’ecografia del secondo trimestre, meglio conosciuta come ecografia morfologica, è il massimo concentrato delle potenzialità dello studio ecografico: questa è l’epoca gestazione in cui si ha il miglior rapporto tra le dimensioni del feto stesso e la risoluzione dell’apparecchio, al fine di eseguire un’analisi morfostrutturale. Si possono investigare estensivamente parametri della crescita e del benessere fetale, implementando lo studio con la visualizzazione e valutazione della vascolarizzazione fetale ed uterina. Una profonda conoscenza dell’anatomia fetale permette inoltre di realizzare un’ecografia genetica, valutando il rischio di patologie cromosomiche.
I moderni apparati consentono inoltre di arricchire la normale indagine ecografica bidimensionale con ricostruzioni tridimensionali e più recentemente anche quadridimensionali, ovvero con una modellazione solida in real-time.
L’ecografia ostetrica ha quindi un inestimabile valore diagnostico ma ha anche l’insostituibile ruolo di presentare ai futuri genitori il loro figlio, così da aumentarne la consapevolezza durante la gravidanza.
L’ecografia morfologica è infatti anche un momento in cui i genitori trovano rassicurazioni e risposte ai molti dubbi e domande.
Per una mamma, poter vedere il bambino che porta in grembo, essere rassicurata sulla propria salute e su quella del proprio figlio, ha un effetto positivo generale che influisce sulla percezione ed il buon andamento della gravidanza stessa.

