Un bel giorno mentre stiamo sistemando le nostre cose e rimettendo in ordine i vari esami nella cartellina della gravidanza ci fermiamo un attimo e con un’abile operazione algebrica facciamo 8+1 = 9……. !!!!!!!!!!!!
Esatto manca un mese per entrare nel fatidico nono mese dove finalmente potremo conoscere Il piccolo tesoro che tanta compagnia ci sta facendo con calci testate e pugni. Diversi dubbi ci assalgono allora, sulla gestione delle “quasi” ultime cose da fare, ma, un po’ il corso pre-parto, un po’ il nostro ginecologo, la nostra ostetrica, e soprattutto le amiche e le compagne di traversata, riescono a fugare o posporre.


Una delle cose fondamentali da fare in questo periodo è preparare la borsa per l’ospedale.
Ricordo ancora, con un bel po’ di commozione, i cambi dei miei piccoli in arrivo, che mia moglie preparò e personalizzò con doviziosa cura in ognuna delle tre gravidanze.

A questo proposito di seguito potete trovare il link dove scaricare la lista della valigia della mamma e del corredino del bambino della Clinica Ginecologica ed Ostetrica.
Valigia della mamma e corredino del neonato
Anche l’organizzazione della parto-analgesia, più comunemente detta peridurale, è un “necessorio” che potrà alleviare le fatiche ed il dolore del travaglio di parto, ed in un certo senso aiutarci a vivere l’esperienza del parto in modo più positivo. Non è obbligatorio richiederla, ma altamente consigliata, per ottenerla bisogna aver fatto la visita anestesiologica (chiamando 0498213087 dalle 11:00 alle 14:30) o aver partecipato alla lezione dell’anestesista all’interno del corso preparto (chiamando 0498213410); quindi meglio organizzarsi per tempo, è una sorta di “uscita gratis dalla prigione” nel gioco del Monopoli da usare in caso di bisogno o se lo si vuole. Per questa visita bisogna avere EMOCROMO, PT e PTT, più recenti di un mese, da mostrare all’anestesista.
Altri esami del sangue son quelli di routine, mentre all’inizio del 9 mese dovremo fare quelli che serviranno per il parto (sala parto, puerperio e nido).
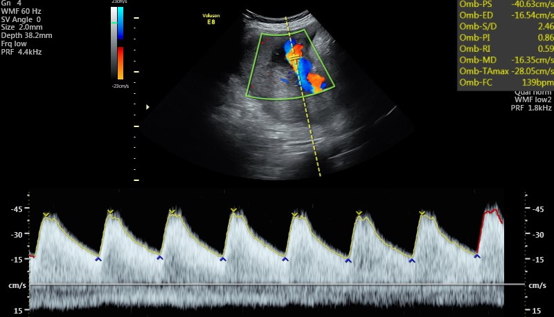
Nel caso che il tesoro, nelle ecografie precedenti, sia risultato un po’ sovrappeso o un po’ sottopeso, sarebbe meglio eseguire una ulteriore valutazione della crescita fetale e del benessere fetale fra la fine dell’ottavo o l’inizio del nono mese.
Con la 35° settimana è buona regola cominciare gli esercizi di preparazione al parto con il massaggio perineale da eseguire con olio di oliva o olio iperico rosso (attenzione che macchia) ed eventualmente con l’uso di “Epi-no”, che è uno strumento ad uso interno dotato di un palloncino che gonfiandosi e simulando l’estremo cefalico, dona elasticità e flessibilità ai tessuti, riducendo la possibilità di lacerazioni ed il ricorso all’episiotomia.
Una preparazione complementare, ma non per questo meno importante è eseguita anche dall’osteopata, che valutando la vostra postura andrà a trattare le eventuali disfunzioni presenti, soprattutto a livello del bacino, facilitando pertanto le corrette modificazioni che avvengono nel corpo della mamma nelle ultime settimane e giorni prima del parto e durante il parto stesso.
Una cosa di fondamentale importanza è sentire muovere regolarmente il bambino. Questo è infatti il monitoraggio più importante e in continuo che abbiamo della salute del tesoro in gravidanza. Se il piccolo si muove regolarmente non ci preoccupiamo, anzi, ma in caso di una significativa riduzione dei movimenti è bene cominciare a contarli e dalla mattina alle 8:00, alla sera alle 20:00 devono essere almeno 15! Se non si dovesse raggiungere questa quota è bene fare un controllo presso il proprio pronto soccorso ostetrico.

Borsa ok, tesoro ok, mamma pure, siamo pronti per entrare nel 9° mese, in un misto di impazienza e paura per l’appuntamento al buio più importante della vita!