Settimo mese. Manca poco. La fatidica meta del parto comincia sempre più a prendere forma con tutte le sue sfaccettature in un misto di impazienza, preoccupazione ed alcune paure.
E’ tempo di partecipare ai corsi di preparazione al parto, dove, seguiti da un pool di ostetriche, ginecologici, pediatri, anestesisti e psicologi, veniamo eruditi sulla gestione del travaglio e del parto, sull’allattamento, e sulla difficile arte di prendersi cura del neonato.
Una sorta di “Bignami” della sopravvivenza per il parto e per giorni successivi. La scelta non è di poco conto e conviene sempre verificare su internet ma soprattutto con amiche e conoscenti sulla bontà e la strutturazione del corso.




Per comodità di seguito sono riportati i numeri per prenotare i corsi preparto in convezione presso la Clinica Ostetrica e Ginecologica/Divisione Ostetrica e Ginecologica e presso il poliambulatorio Elysium dove la dr.sa Soffia Bellesso è la referente
Clinica Ostetrica e Ginecologica/Divisione Ostetrica e Ginecologica: 0498214416
Poliambulatorio Elysium: 04977777
Il settimo mese, che vede l’uscita vittoriosa dal match con la curva da carico orale di glucosio (OGTT), non prevede esami del sangue particolari o scadenza imprescindibili.
Per tranquillità oltre ai comuni esami del sangue mensili, trova spazio il controllo delle transaminasi per valutare se il fegato risulti affatica dalla gravidanza e della sideremia per vedere se sia necessario una terapia marziale suppletiva. Infatti, le sempre maggiori richieste del tesoro tendono ad impoverire i depositi di ferro e la mamma che può progressivamente anemizzarsi. E’ una buon cosa infatti, arrivare al parto con almeno 10 g/dL di emoglobina.
Dalla 28° alla 34° settimana è utile la vaccinazione per la pertosse. Se la mamma decide di vaccinarsi riesce a trasferire parte della risposta iperimmune della vaccinazione al tesoro rendendolo più resistente nei confronti di questa infezione. In Italia non esiste il vaccino per la pertosse a se stante ma in combinata con tetano e difterite (vaccino DTP). La sicurezza in gravidanza di questo vaccino è stata dimostrata per tutti e tre i componenti del vaccino. Anche chi ha avuto la pertosse o si era vaccinato in passato dovrebbe ripeterlo dal momento che la risposta immunitaria per la pertosse si attenua nel corso degli anni.
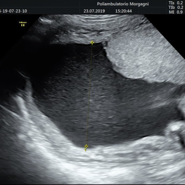
Il mese si conclude con l’ecografia di accrescimento da non eseguire troppo precocemente per ridurre il lasso di tempo fino al momento del parto.
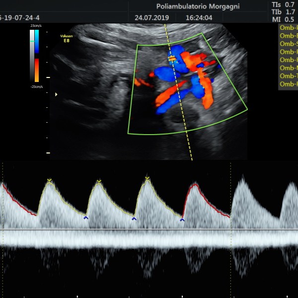
Oltre la valutazione della biometria fetale, è importante controllare il benessere fetale con flussimetria a livello del cordone ombelicale e la quantità di liquido amniotico, vera cartina di tornasole del benessere fetale.


Mancano quindi solo tre mesi, il tempo vola, i movimenti del piccolo ci riempiono le giornate, ed alle volte sembra di avere in pancia un piccolo karateka dalla cintura nera con possibilità di colpi proibiti un po’ dappertutto.
Tutto sta procedendo bene e fervono i preparati per il parto.