Siamo arrivati al quarto mese. Le incertezze, precauzione e scaramanzie dei mesi precedenti, stanno lasciando il passo a consapevolezza e gioia. L’espressione tipica dei genitori quando guardano il loro “tesoro” a queste settimane è “non pensavo che si vedessero così tante cose e che fosse già così bambino”. Infatti l’impressione ricevuta a queste settimane è di un tesorino alto 14-16 cm e del peso di poco più di 100-180 g, con tutte le sue cosine a loro giusto posto.


Per le mamme che non sono alla prima esperienza è in queste settimane che finalmente sarà possibile percepire il tesoro, all’inizio come foglie mosse dal vento o piccole bollicine di aria nell’acqua, per poi prendere sempre più forza e frequenza nel corso della settimane successive. Per le mamme alla prima esperienza di solito bisogna aspettare il V mese. Due piccoli avvisi, ogni bambino ha il suo carattere e così anche i movimenti hanno una loro specificità che dipenda appunto dal tesoro, inoltre se la placenta risulta anteriore, ovvero inserita nella faccia anteriore dell’utero (davanti), questo agisce come una sorta di ammortizzatore e nelle settimane iniziale attutendo la sensazione dei movimenti del tesoro.


Un piccolo avviso ai naviganti, sapete come calcolare la lunghezza del vostro piccolo? Facile basta moltiplicare la lunghezza del femore per 7 e si otterrà una stima di quanto è alto il tesoro dalla testa ai piedi. Più precise sono le tabelle di riferimento.
| Settimane di gravidanza | Lunghezza (cm) |
| 8 settimane | 1.7 cm |
| 9 settimane | 2.4 cm |
| 10 settimane | 3.3 cm |
| 11 settimane | 4.2 cm |
| 12 settimane | 5.5 cm |
| 13 settimane | 7.5 cm |
| 14 settimane | 8.8 cm |
| 15 settimane | 11.0 cm |
| 16 settimane | 13.5 cm |
| 17 settimane | 14.5 cm |
| 18 settimane | 15.0 cm |
| 19 settimane | 16.5 cm |
| 20 settimane | 22.0 cm |
| 21 settimane | 25.0 cm |
| 22 settimane | 27.9 cm |
| 23 settimane | 29.0 cm |
| 24 settimane | 30.0 cm |
| 25 settimane | 34.5 cm |
| 26 settimane | 35.7 cm |
| 27 settimane | 36.5 cm |
| 28 settimane | 37.5 cm |
| 29 settimane | 38.5 cm |
| 30 settimane | 39.8 cm |
| 31 settimane | 41.2 cm |
| 32 settimane | 42.1 cm |
| 33 settimane | 43.6 cm |
| 34 settimane | 45.1 cm |
| 35 settimane | 46.1 cm |
| 36 settimane | 47.3 cm |
| 37 settimane | 48.5 cm |
| 38 settimane | 49.5 cm |
| 39 settimane | 50.5 cm |
| 40 settimane | 51.0 cm |
In medicina fetale e soprattutto in ecografia è difficile poter fornire certezze, infatti noi procediamo ad approssimazioni e calcolo di probabilità, ma una certezza riusciamo a fornirla, in questa epoca, dando una occhiata attenta in mezzo alle gambe, riusciamo a dire se è modello accessoriato o super accessoriato, ovvero se sarà un “tesoro” o una “tesora”. Mi ricordo che quando ero un utente non sono mai riuscito a resistere alla curiosità, ne ovviamente la mia signora. Ho sempre provato una sorta di ammirazione e anche di invidia nei confronti di quei romantici genitori che riescono a resistere fino alla fine per avere la sorpresa al momento della nascita.


A questa epoca è possibile condurre un esame che impropriamente viene definito pre-morfologico, che ci permette di valutare le strutture principali, il tanto da poter affrontare con tranquillità il fondamentale appuntamento con l’ecografia morfologica del V mese.
Placenta e liquido amniotico sono due parametri essenziali da controllare, strettamente collegate con il benessere fetale.
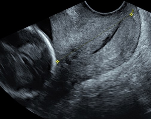
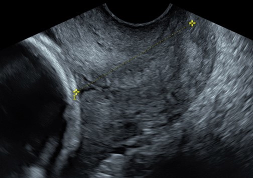
Un passaggio importante è la valutazione del collo dell’utero, che ha la funzione di sorreggere l’utero che cresce con il suo prezioso contenuto. Con l’ecografia transvaginale è infatti possibile ottenere una misurazione della lunghezza della cervice uterine e vedere se sono presenti modificazioni dell’orifizio interno, che sarebbe la porta di ingresso verso l’utero.


Non ci sono particolari esami del sangue da fare a questa settimana, se non quelli di routine, giusto per non perdere l’allenamento.
E’ a questa epoca che bisogna cominciare ad integrare la dieta con complessi multivitamici che contengano il DHA, tanto utile per lo sviluppo cerebrale e degli occhi. Ovviamente l’integratore non può sostituire una alimentazione corretta e bilanciata, ovvero noi siamo quello che mangiamo.



Il prossimo appuntamento è con l’ecografia morfologica del quinto mese, appuntamento tanto bello quanto fondamentale tappa verso la realizzazione del nostro sogno.