Entrare nel terzo mese di gravidanza è come fare l’ingresso nel Nirvana, in un porto sicuro, superati i mesi più a rischio si assapora la consapevolezza di averli superati.
Comincia una fase completamente nuova dove invece di un fagiolino abbiamo a che fare con un piccolo tesoro che salta, saluta e si mostra in tutto il suo splendore a mamma e papà che non possono che rimanere affascinati da come in quei 4/5 centimetri possano concentrarsi così tanto amore e così tanta perfezione.


Questo mese è caratterizzato dalla significativa attenuazione o addirittura scomparsa della nausea, ma attenzione a non prendere troppo peso, infatti anche se liberi dall’oppressione della nausea bisogna sempre tenere una alimentazione controllata. Mentre il turgore al seno e le difficoltà intestinali permangono.
Nel mese precedente abbiamo scelto di fare (oppure no), non senza giustificati dubbi ed incertezze, esami a scelta tra l’ultrascreen, il DNA fetale, la villocentesi o l’amniocentesi, ovvero tecniche di diagnosi prenatale che permettono di approfondire lo stato di salute del piccolo tesoro. E’ facile decidere per se stessi, molto più complesso e variegato dover decidere sul futuro di quanto più prezioso abbiamo mai immaginato di avere. È lì che riponiamo tutte le nostre aspettative e le certezze diventano relative.
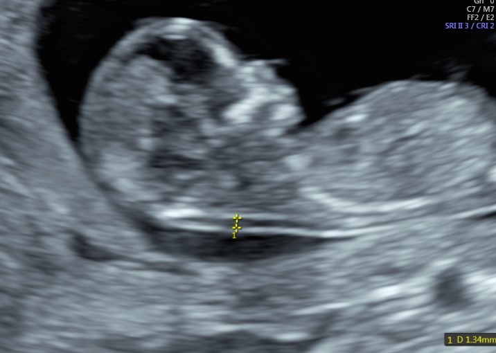
Indipendentemente dalla nostra scelta, è di capitale importanza fare comunque una ecografia fra la 11° e la 13° settimana. Infatti già a questa epoca gestazionale siamo in grado di condurre un’iniziale valutazione morfologica. Ma soprattutto questo è la finestra di opportunità per studiare la translucenza nucale. In realtà questa ampia finestra di tre settimane ha il suo momento più favorevole a 11 settimane e mezza e inizio dodicesima.
Si va a misurare quindi attraverso una ecografia lo spazio dietro la nuca: è una fisiologica raccolta di linfa che tende ad aumentare in diverse situazioni patologiche risultando essere un indice generale di buon andamento della gravidanza dove più è sottile più siamo tranquilli a riguardo di patologie cromosomiche, malformazioni cardiache, ed alcune malattie genetiche.
| Translucenza nucale | |||
| CRL (mm) | 5° percentile | 50° percentile | 95° percentile |
| 40 | 0.31 | 1.22 | 2.14 |
| 45 | 0.40 | 1.32 | 2.24 |
| 50 | 0.50 | 1.42 | 2.34 |
| 55 | 0.60 | 1.52 | 2.44 |
| 60 | 0.70 | 1.62 | 2.54 |
| 65 | 0.80 | 1.72 | 2.64 |
| 70 | 0.90 | 1.82 | 2.73 |
| 75 | 0.99 | 1.91 | 2.83 |
| 80 | 1.09 | 2.01 | 2.93 |
| 85 | 1.19 | 2.11 | 3.03 |


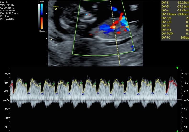
Questa valutazione può essere integrata da quella del dotto venoso (un piccolo vaso a livello del fegato che ci descrive la funzionalità cardiaca), la presenza dell’osso nasale (in medicina fetale avere un naso di una certa importanza è una cosa rassicurante) e l’assenza del rigurgito della valvola cardiaca tricuspide.


In questi 4/5 centimetri la risoluzione degli apparecchi moderni riesce a fare una prima valutazione morfologica, per vedere che ci siano tutti i “necessori” ed eventualmente anche accessori: cercando è possibile evidenziare il tubercolo genitale (sempre che il piccolo decida di essere collaborante e mostrare le proprie grazie). Si chiama così perché clitoride e pisellino hanno le stesse dimensioni a questa epoca, ma è possibile riconoscerli in base all’angolo rispetto al corpo: parallelo al corpo per le signorine, verso l’alto per i maschietti. Attenzione però la sensibilità, ovvero quanto ci azzecchiamo, è intorno al 60%.
La parte morfologica è molto importante, riusciamo a studiare l’estremo cefalico – a questa epoca il cervello fetale è molto semplice – , il massiccio facciale con occhi, naso bocca, le orecchie sono abbastanza facili da essere evidenziate. Nel torace oltre ai campi polmonari possiamo vedere il cuore battere ritmicamente e confermare la presenza delle quattro camere cardiache. Nell’addome riusciamo ad evidenziare lo stomaco e l’inserzione del cordone ombelicale. Si nota la presenza della vescica e del tubercolo genitale. Si possono esplorare tutti e quattro gli arti.


Per i genitori vedere sotto i propri occhi prendere forma il tesorino risulta una esperienza indimenticabile e impareggiabile al limite fra incredulità e la sorpresa come tutto sia già presente seppur in scala ridotta.
Gli esami ematochimici sono quelli di routine che si fanno una volta al mese, che vengono ripetuti in base alla nostra suscettibilità immunitaria e di condizioni particolari come ad esempio nell’ipotiroidismo.
Siamo arrivati ad un terzo del viaggio, ma ancora tante scoperte ci aspettano nei prossimi mesi.



