Finalmente siamo arrivati al quinto mese, una di quelle scadenze che si annotano nel proprio diario praticamente insieme con il test di gravidanza e la data presunta del parto. L’ecografia con la “E” maiuscola, quella dove si concentrano molte aspettative sulla salute del piccolo tesoro che sta crescendo dentro di noi.
Il quinto mese è anche il giro di boa, siamo arrivato infatti a metà del nostro viaggio, tanto abbiamo fatto, ma altrettanto dobbiamo ancora fare. Ma siamo arrivati in cima alla montagna e guardiamo con soddisfazione verso valle.
In realtà con il quinto mese esauriamo le scadenze più importanti per la diagnosi prenatale e da lí in poi il nostro compito sarà quello di offrire al tesoro che sta crescendo il miglior ambiente possibile.
Il quinto mese si caratterizza per le mamme alla prima esperienza come il mese in cui cominciano a sentire i primi movimenti, dapprima appena percettibili, come foglie spinte dal vento o piccole bollicine di aria dentro l’acqua, per poi prendere forza e vigore fino a dare la possibilità anche al babbo, verso la fine del quinto mese, di sentire gli “amorevoli calci”: una esperienza prossima alla magia. Le mamme che non sono alla prima esperienza generalmente riescono a percepire il piccolo con un mese di anticipo.
I movimenti percepiti sono una sorta di ricompensa per tutta la fiducia e speranza riposte nei mesi passati, la conferma che il piccolo sta bene in un perfetto connubio con l’amore della mamma e da lí a poco anche del babbo.
Non ci son particolari esami del sangue da fare se non quelli di routine, il vero appuntamento è quello della ecografia morfologica o del quinto mese.
Per la scelta del periodo siamo aiutati dalle applicazioni sul telefonino o dal proprio ginecologo, anche se le settimane ottimali per eseguire l’esame sono dalla 19a alla 21a, dove abbiamo il miglior rapporto fra dimensioni del tesoro e risoluzione degli apparecchi ecografici.
Prenotiamo la nostra ecografia morfologica. Non è una scelta di poco conto e quindi interrogando amiche, colleghe e cercando informazioni e feedback su internet finalmente facciamo la nostra scelta.
Il professionista che ci segue, è pronto ad accompagnarci in questo emozionante quanto importante trailer di vita.
L’ecografia è preceduta da una breve raccolta di informazioni per sapere come sta andando la gravidanza, gli esami di diagnosi prenatale fatti, storia ostetrica personale e familiare, poi finalmente si passa alle cose belle, anzi no bellissime.
Il nostro tesoro comincerà a prendere forma dalle mani dell’ecografista che ci descriverà come è fatto, quanto grande è, e soprattutto come sta.

L’indagine è una visione sistematica dalla testa ai piedi del bambino, le sue misure con il calcolo del peso e la valutazione del suo benessere basandosi sui movimenti, Il liquido amniotico ed alcuni parametri vascolari investigati con la doppler flussimetria, come il dotto venoso.



L’ecografia morfologica, come tutte le ecografie ostetriche, deve dare ampio spazio anche ai genitori, alle loro curiosità, al loro bisogno di essere rassicurati, ed è da questa settimana che si possono fare delle bellissime foto in 2D e 3D del volto del piccolo, sia frontalmente che di profilo, innescando invariabili conflitti sulle presunte somiglianze. Se non abbiamo eseguito l’ecografia pre-morfologica, è questo il momento in cui finalmente abbiamo la conferma se il piccolo è une “tesorino” (sinistra) oppure una “tesorina” (destra).


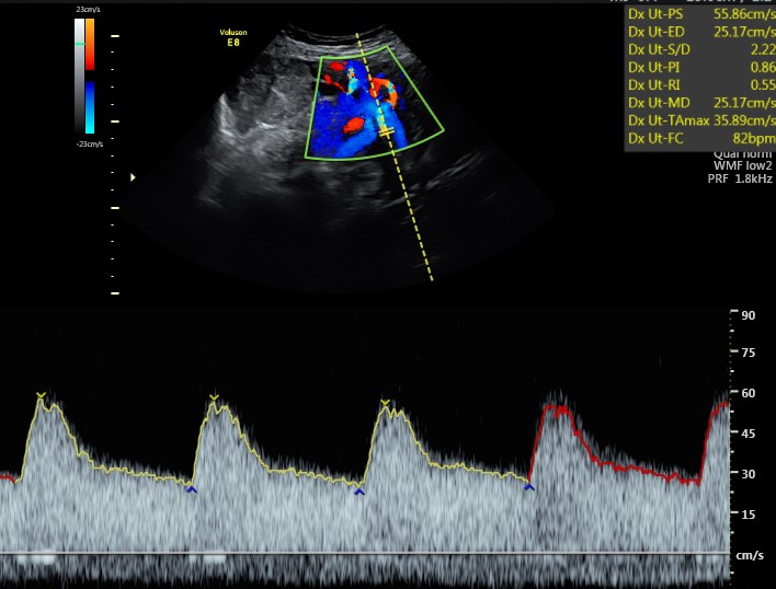
Non solo il tesoro è oggetto di valutazione, ma in questa ecografia lo è anche la mamma. Infatti, per vedere se siamo dei buoni incubatori, è importante la valutazione della resistenza delle arterie uterine.
La placenta, organo semplice strutturalmente ma dotato di una incredibile intelligenza biologica, modifica queste arterie rendendole dei vasi a bassa resistenza, assicurandosi, di conseguenza, un buon apporto di sangue per le fasi successive della gravidanza e in ultima analisi un corretto sviluppo fetale.


E sempre sul lato materno, in questa ecografia ricontrolliamo la lunghezza della cervice uterina per valutare il rischio di parto prematuro.
Al quinto mese, è utile, anzi, direi indispensabile, eseguire i tamponi vaginali per la ricerca di eventuali infezioni o dismicrobismi, che purtroppo si associano significativamente con il parto prematuro ed altre complicanze ostetriche.


Si conclude così il quinto capitolo del nostro viaggio, con la sensazione di avere finalmente concluso la parte in salita per arrivare a quella in discesa, altrettanto lunga, ma meno perigliosa. Da qui in poi vivremo sulle basi solide che abbiamo posto in questi fantastici primi cinque mesi!