Sesto mese. Appena fatto il giro di boa e passato l’esame più importante dell’ecografia morfologica, ci godiamo i due mesi più piacevoli della gravidanza.


La pancia non è ancora così ingombrante ed il tesoro si muove con sempre più vigore e finalmente anche il babbo può sentire il tesoro scalciare e puntarsi. Può comparire qualche contrazione ma se in modo sporadico è normale e non preoccupante.
I principali appuntamenti di questo mese non sono ecografici ma con la “famigerata” curva da carico orale di glucosio o OGTT. Esame di screening per il diabete gestazionale, importantissima da fare. Infatti un diabete gestazionale non diagnosticato potrebbe causare una eccessiva crescita del tesoro con difficoltà al parto e l’ipoglicemia post natale.

L’esame va fatto dalla 24 alla 28 settimana di gravidanza, ovvero da quando la placenta comincia ad avere un maggior impatto sulla glicemia della mamma.
Va eseguito a digiuno, con un primo prelievo per valutare la glicemia basale, vengono quindi somministrati 75 g di una soluzione molto dolce (i più fortunati potranno scegliere il gusto).
Vengono quindi effettuati due prelievi a distanza di un’ora e di due ore dalla somministrazione della soluzione. Se anche uno dei valori risultasse fuori dal range è opportuno contattare un diabetologo o il servizio di diabetologia.
| Glicemia a digiuno | Glicemia dopo 60 minuti | Glicemia dopo 120 minuti |
| 92 mg/dL | 180 mg/dL | 153 mg/dL |
Conviene prenotare l’esame e magari farsi accompagnare è una buona idea. Infatti alle volte l’esame è associato a nausea e mal di testa. Può essere una giornata un po’ storta e quindi non meglio non prendere appuntamenti per il pomeriggio ma passare un po’ di tempo in relax e tranquillità.
Oltre alla curva da carico orale di glucosio vengono anche ripetuti gli esami di routine della gravidanza.



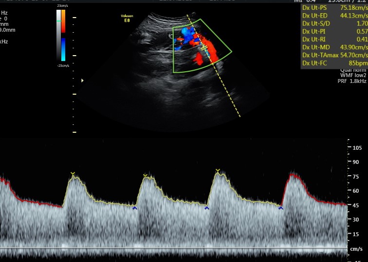
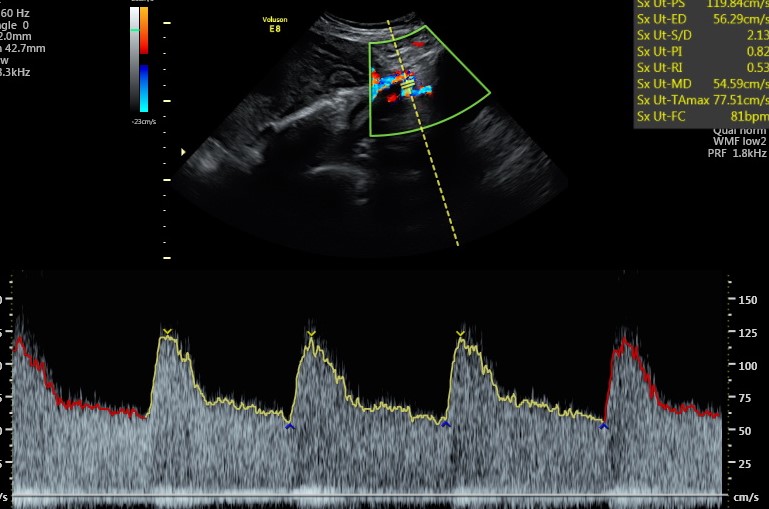
A livello ecografico non ci sono particolari controlli da fare, se non quello della arterie uterine se all’ecografia morfologica erano ancora un po’ vasocostrette.


Infatti la placenta in questo mese e mese e mezzo ha continuato la sua opera di modificazione delle arterie uterine per renderle dei vasi a bassa resistenza e conseguentemente assicurandosi un buon apporto di sangue per il resto della gravidanza. Se anche in questa occasione le arterie uterine dovessero ancora avere le resistenze aumentate è importante pianificare una ecografia di accrescimento ogni mese e monitorare la pressione della mamma su base quotidiana.


Il tesoro in ecografia è sempre più bello, infatti è da questo mese, ma soprattutto dal prossimo che comincerà ad ingrassare e diventare più tondetto per la gioia degli occhi di babbo e mamma!