Siamo entrati nel secondo mese di gravidanza, è un mese importante a livello organizzativo e decisionale, dove si buttano le basi per i futuri passaggi soprattutto per quanto riguarda la diagnosi prenatale.
Possono presentarsi i fastidi della nausea o peggiorare se già esistenti (come possono anche non comparire mai!). Vomitare uno o due volte al giorno è una cosa abbastanza normale, e non ci sono preoccupazioni particolari se si mantiene il peso e una diuresi regolare, ma attenzione che una forte contrazione della diuresi ed un importante dimagrimento devono allarmarci.
Il seno rimane teso e continua ed aumentare di volume con tutto il disconfort relativo.
Dopo aver fatto una “doxa” fra amiche, parenti e colleghe e dato anche un’occhiata ad internet, abbiamo scelto il nostro ginecologo o la struttura che ci deve seguire. E’ una scelta importante perché si deve instaurare un rapporto di fiducia reciproca per traversare un mare che alle volte può essere in tempesta e quindi fare affidamento ad un “capitano coraggioso” può essere un vantaggio. Più facile è il compito se non si è alla prima esperienza e ci siamo trovati bene nella prima “traversata”.
La prima visita è un po’ come il primo appuntamento, serve per conoscersi. Verranno poste domande sul trascorso ostetrico personale e familiare, malattie in famiglia. Se ci sono problemi di salute, farmaci che abbiamo preso. Tutta una serie di domande per capire chi siamo. Viene sempre lasciato un ampio spazio per chiarie dubbi o curiosità, anche perché le informazioni di internet sono davvero numerose ed alle volte è problematico capire quale sono quelle più affidabili e quelle invece fuorvianti.
Alle volte basta poco per essere rassicurati.
Si prescrivono i primi esami della gravidanza per verificare la presenza di eventuali infezioni o la nostra immunità, ed il nostro stato di salute. Purtroppo, non tutti gli esami risultano esenti da ticket, anche se sarebbe importante che lo fossero, ma sono comunque necessari per il buon andamento della gravidanza. Per consolarci basta pensare che da qui a quando il tesoro avrà 18 anni dovremo spendere circa 200000 euro, quindi la parola tesoro non è solo affettiva!
Un capitolo abbastanza complesso è quello della diagnosi prenatale, non c’è nulla di obbligatorio, ma è una nostra scelta e più siamo informati più la nostra scelta sarà consapevole.
Translucenza nucale e Ultrascreen (Duo test combinato)
Consiste nella misurazione dello spessore del tessuto sottocutaneo che si trova a livello retronucale del feto, ovvero lo spazio compreso tra la cute e la colonna vertebrale, tra l’undicesima e la tredicesima settimana della gravidanza. Maggiore è lo spessore della translucenza tanto maggiore è la probabilità che il nascituro sia affetto da sindrome di Down o da trisomia 18. Nell’Ultrascreen, integrando il valore della translucenza nucale con il dosaggio di due ormoni della placenta beta-hCG e PAPP-A, i cui valori risultano modificati in caso di patologie cromosomiche, si ottiene una più precisa valutazione del rischio per la sindrome di Down e la trisomia 18 con una sensibilità del 90% con 5% di falsi positivi. E’ quindi un test probabilistico.
DNA fetale (NIPT)
Solo recentemente, grazie a complesse tecniche di amplificazione del DNA, è stato possibile realizzare lo studio del DNA fetale e conseguentemente dei cromosomi in modo non invasivo, analizzando il DNA fetale libero circolante isolato da un campione di sangue materno dalla decima settimana in avanti. E’ quindi possibile valutare la presenza di alterazioni cromosomiche fetali, con una altissima sensibilità, relative ai cromosomi 21, 18, 13 ed ai cromosomi sessuali (X e Y) e più recentemente effettuare anche lo studio di tutti i 46 cromosomi solo con un normale prelievo di sangue.
Villocentesi
La villocentesi consiste nella determinazione dei cromosomi fetali mediante il prelievo con un ago, sotto guida ecografica di villi coriali dalla placenta. Infatti i villi coriali esprimono lo stesso corredo cromosomico del feto, e dalla loro analisi è possibile la valutazione del numero dei cromosomi fetali. La villocentesi viene effettuata dalla 11 alla 13 settimana di gravidanza, ha un rischio di ripetizione dell’esame per motivi tecnici di 1:1000, ed essendo una metodica invasiva una abortività dello 0.5%, ovvero 1 caso ogni 200 villocentesi.
Amniocentesi
L’amniocentesi permette di conoscere il cariotipo fetale mediante un prelievo di liquido amniotico. Il prelievo viene effettuato fra la 15 e 17 settimane sotto guida ecografica. Nel liquido prelevato ci sono cellule di sfaldamento del feto che vengono isolate e messe in coltura e da queste ricavati i cromosomi del feto. L’amniocentesi ha un rischio di aborto del 0.5% con un rischio di ripetizione di 1:2500, decisamente un rischio basso di dover eseguire nuovamente la procedura.
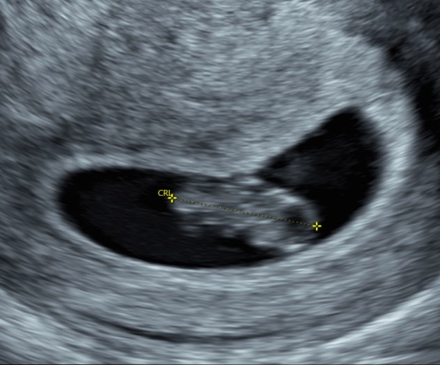
A questo punto è venuto il momento di fare la conoscenza del nostro tesoro, che fino ad allora era un “+” su di uno stick o un valore di beta hCG.
Con l’ecografia, che, a seconda dell’epoca gestazionale e dalla posizione dell’utero, può essere fatta sia per via addominale che transvaginale, potremo vedere un piccolo fagiolino con al suo interno il “cuoricino” che batte, facendoci realizzare che quei pochi millimetri di vita e di amore sono l’evento più sconvolgente della propria vita, e da qui in poi niente sarà più come prima.
Tipicamente la prima ecografia va fatta dopo la 6° settimana per evitare di non vedere nulla e rimanere conseguentemente delusi.
Il vostro ginecologo dopo aver visto il battito misurerà il “tesorino”, dalla testa alla coda con una misurazione che si chiama CRL (Crown Rump Length – Distanza testa coda).
Di seguito una piccola tabella dove son riportate le corrispondenze:
| Settimane di Gravidanza | CRL (mm) | Peso (g) |
| 6 settimane | 4 mm | |
| 7 settimane | 11 mm | < 1g |
| 8 settimane | 17 mm | 1 g |
| 9 settimane | 23 mm | 2 g |
| 10 settimane | 34 mm | 4 g |
| 11 settimane | 44 mm | 7 g |
| 12 settimane | 57 mm | 14 g |
| 13 settimane | 68 mm | 23 g |
| 14 settimane | 81 mm | 43 g |
Misurando il tesoro è possibile quindi sapere la corretta epoca gestazionale nella quale ci troviamo.
Mi spiego meglio, i conti della gravidanza partono dal primo giorno dell’ultimo ciclo, che sempre più spesso viene registrato sul diario di qualche app facilitando il lavoro del ginecologo. Ma l’ovulazione ed il concepimento avvengono in realtà dopo due settimane dal primo giorno del ciclo, e tutto il conteggio delle settimane di gravidanza tiene conto di questo scarto. Ma nel 30—40% della popolazione femminile può accadere che l’ovulazione possa essere anticipata o più spesso essere posticipata anche di due settimane ed in alcuni casi anche di più.
Dalla misura del CRL, siamo in grado quindi di sapere quando è stato concepito realmente il tesoro e, togliendo i 14 giorni canonici, confermare la data dell’ultimo ciclo oppure fornire una nuova data di mestruazione che seppur fittizia che ci serve per eseguire correttamente la programmazione della gravidanza.
In altre parole, se ho avuto il ciclo il 1 di Aprile e le misure del tesoro invece di essere per 8 settimane sono per 7, significa che il tesoro è più giovane di una settimana, cioè che ho ovulato una settimana dopo (in 21a e non 14a giornata) e che conseguentemente dovrò ridatare il primo giorno del ciclo al 7 di Aprile, che sarà d’ora in avanti la nuova data dell’ultima mestruazione. Facile!
Anche per questo mese credo sia tutto, stay tuned!



